Conceptual Radiology

We would like to inform you that CR books are currently on hold till 31st May. Dispatch will begin from the first week of June on a first come, first serve basis.

Issue, February 2026

Newsletter

January’s Most-Watched Radiology Sessions – Are You Missing These?

These sessions didn’t trend by chance. They were watched, rewatched, and recommended by residents preparing seriously for exams and clinical practice.

Here’s exactly what you’ll learn from January’s most-viewed sessions on Conceptual Radiology 👇

1. Short Case Discussion By Dr. Arushi Yadav

Short cases can decide your score—if your approach is right.
This session sharpens how you think, not just what you see.

You will learn to:

  • Build a structured approach to short radiology cases
  • Pick up key diagnostic imaging clues quickly
  • Avoid common errors in exam-based case discussions
  • Improve confidence in time-limited case interpretation

     

👉 Click Here to Watch

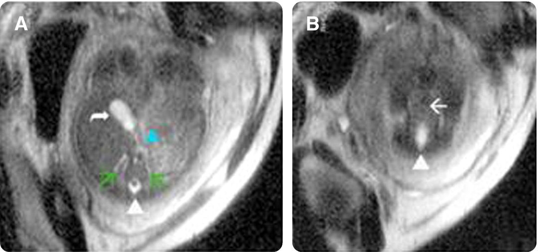
2. Imaging Approach to Fetal Renal Anomalies by Dr. Rashmi Singh

Fetal renal anomalies are common on antenatal scans but tricky to interpret.
This session simplifies diagnosis using a logical, pattern-based approach.

You will learn to:

  • Follow a step-by-step imaging workflow for fetal renal anomalies
  • Identify patterns and narrow down differentials confidently
  • Correlate imaging findings with clinical relevance
  • Improve reporting accuracy and counseling skills

🎯 Ideal for Radiology, OBG, Pediatrics & exam preparation

👉 Click Here to Watch

3. Types of Balloons in Peripheral Arterial Disease (PAD) by Dr. Akhil Monga

Endovascular management of PAD demands clarity, not confusion.
This session explains balloon angioplasty in a practical, exam-friendly way.

You will learn to:

  • Differentiate between various balloon types used in PAD
  • Understand indications based on lesion characteristics
  • Strengthen interventional radiology concepts from basics
  • Apply knowledge for both exams and real-world practice

👉 Click Here to Watch

4. Pathologies of the Shoulder Joint – Part 5 by Dr. Gursimran Singh Anand

Shoulder imaging is high-yield but often overwhelming.
This session focuses only on what truly matters for exams and practice.

You will learn to:

  • Identify important shoulder joint pathologies on imaging
  • Correlate radiological findings with clinical scenarios
  • Retain exam-relevant MSK concepts more effectively
  • Build confidence in musculoskeletal reporting

👉 Click Here to Watch

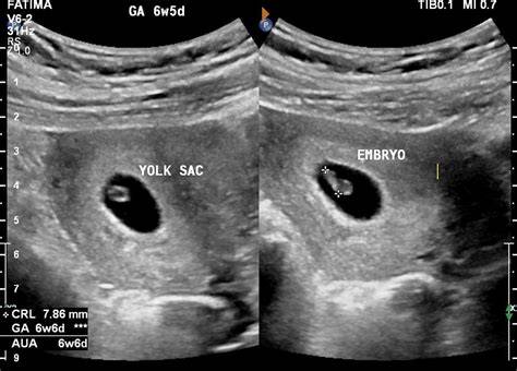
5. Early Pregnancy Scan: Why It’s Essential by Dr. Ekta Mishra

An early pregnancy scan is a critical clinical decision point.
This session explains why missing details here can change outcomes.

You will learn to:

  • Confirm intrauterine pregnancy accurately
  • Assess gestational age and fetal viability
  • Rule out ectopic pregnancy early
  • Detect early pregnancy complications confidently

👉 Click Here to Watch

Don’t Miss What Everyone Else Is Already Learning

These sessions are just a glimpse of the depth and clarity offered by Conceptual Radiology.

👉 Subscribe to Conceptual Radiology today to access complete, structured, exam-focused radiology learning—trusted by residents across specialties.

Start now. Because the right preparation always starts on time.

Hello! How can we help you?

Clinicon AI